

Periodoncia

Cómo curar la periodontitis
- 
Higiene exhaustiva: lo primero que hacemos en Dentalmansilla será una limpieza profunda, así como enseñarte técnicas de higiene, resaltando la importancia del hilo dental y los cepillos interproximales. Para acabar con las bacterias acumuladas en los dientes y bajo las encías, se necesitan realizar las sesiones de raspado y alisado radicular.
 - 
Intervención quirúrgica: tras la higiene, tu dentista evaluará los resultados y valorará la decisión de realizar una cirugía que acabe con las bolsas periodontales de bacterias que se crean bajo las encías.
 - 
Mantenimiento: después de haber frenado la enfermedad gracias a la intervención quirúrgica, es necesario acudir a todas las citas que se llevarán a cabo periódicamente para revisar el estado de las encías y evitar posibles reapariciones.
 
Es facil, rapido y seguro.
¿Cómo evitar la periodoncia?
_jfif.jpg)
- 
Cepíllate los dientes durante 2 minutos al levantarte, al acostarte y después de cada comida.
 - 
Utiliza el hilo dental en los huecos interdentales.
 - 
Evita el tabaco.
 - 
Realiza una o dos limpiezas dentales al año en tu clínica de confianza.
 - 
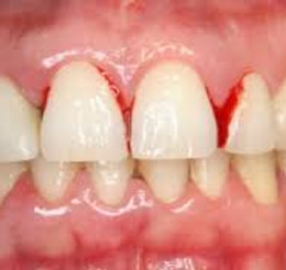
El sangrado de encías es un indicador claro de que algo no va bien en la salud bucodental. Esto supone que, con total seguridad, la persona que lo sufre esté padeciendo gingivitis o periodontitis.
 - 
Concurrir al dentista para examenes de rutina
 

